Understanding tooth fillings is essential for maintaining oral health and addressing cavities efficiently. Tooth fillings are a common dental procedure aimed at restoring the structure and function of a tooth affected by decay. They help prevent further damage while improving chewing ability and appearance. This guide explores what individuals can expect when receiving a Tooth Filling Cost in Dubai, the factors involved, and the long-term benefits of the procedure.

What a Tooth Filling Entails
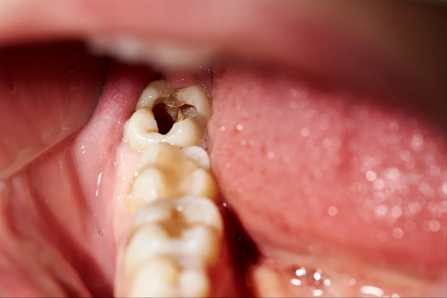
A tooth filling involves removing decayed portions of a tooth and replacing them with a durable material. This procedure restores the tooth's integrity and prevents bacteria from causing further decay. The process typically begins with an examination and assessment of the cavity. Dental professionals ensure the area is thoroughly cleaned before placing the filling material. Modern techniques allow for precise removal of decay, preserving as much of the natural tooth as possible.
The procedure is generally straightforward, with local anesthesia used to numb the area and minimize discomfort. Once the decayed material is removed, the filling material is shaped to fit the tooth and hardened. Properly placed fillings help maintain oral function and support the surrounding teeth.
Factors Influencing the Procedure
Several factors determine how a tooth filling is approached and the overall treatment experience. The size and location of the cavity are crucial considerations. Larger cavities may require more extensive work, while teeth in hard-to-reach areas may need special techniques. The choice of filling material also plays a role in how the procedure is performed, as some materials require layering and curing, while others can be applied in a single step.
The condition of the surrounding teeth and gums can influence the approach to the filling. Healthy teeth and gums make the procedure simpler and help ensure the filling lasts longer. Regular oral hygiene and routine dental visits also contribute to a smoother experience and better outcomes.
Types of Tooth Fillings
Different types of filling materials are available, each with unique characteristics. Tooth-colored fillings blend seamlessly with natural teeth, offering aesthetic benefits. Durable fillings are often used for molars and areas that endure significant chewing pressure. The choice of material depends on the location of the cavity, the function of the tooth, and patient preferences.
Advanced materials are designed to bond effectively with tooth structures, reducing the risk of gaps and leakage. This ensures that the tooth remains protected from further decay and maintains its strength over time.
The Procedure Step by Step
The process of receiving a tooth filling is methodical and patient-focused. Initially, the tooth is examined and the cavity is assessed. Local anesthesia is applied to ensure comfort throughout the procedure. Decayed areas are carefully removed using specialized tools, and the space is cleaned to remove bacteria and debris.
Once prepared, the filling material is placed in the cavity. Depending on the material, it may be shaped and hardened using specific techniques. The final step involves checking the bite to ensure the filling fits naturally with the surrounding teeth. Proper alignment is essential for comfort and optimal function.
Benefits of Tooth Fillings
Tooth fillings provide both functional and aesthetic benefits. They prevent further decay by sealing off areas where bacteria can accumulate. Fillings restore the natural shape of the tooth, allowing for normal chewing and speaking.
Additionally, tooth-colored fillings offer cosmetic advantages, blending seamlessly with existing teeth. This helps maintain a natural smile and boosts confidence in everyday interactions.
Recovery and Adaptation
After receiving a tooth filling, patients may notice temporary sensitivity to temperature or pressure. This is a normal part of the adjustment process as the tooth adapts to the new material. Sensitivity typically diminishes within a few days, and normal activities such as eating and speaking can resume shortly after the procedure.
Regular oral hygiene and routine checkups help ensure the filling remains effective. Brushing and flossing around the filled tooth protect it from future decay and maintain overall oral health.
FAQs
How long does a tooth filling last?
The longevity of a filling depends on the material used, the location of the tooth, and oral hygiene habits. Proper care can extend the life of a filling for many years.
Will the procedure be painful?
Local anesthesia ensures that the procedure is generally comfortable. Some minor discomfort may occur after the anesthesia wears off, but it is usually manageable.
Can a filled tooth still develop cavities?
Yes, although fillings protect the tooth, decay can occur around the edges if oral hygiene is not maintained. Regular cleaning and checkups are essential.

How should one care for a newly filled tooth?
Brushing twice daily and flossing help maintain the integrity of the filling. Avoiding excessive force on the filled tooth, such as biting hard objects, helps preserve its function.
Are there any restrictions after a filling?
Most individuals can resume normal activities immediately. Chewing may feel slightly different at first, but this usually resolves quickly.
Tooth Filling price play a crucial role in maintaining dental health and preventing the progression of cavities. By understanding what to expect and following proper care practices, individuals can enjoy restored teeth that function well and look natural. This procedure is a reliable solution for preserving tooth structure and ensuring long-term oral well-being.